
Một Loại Dụng Cụ Giúp Chăm Sóc Các Vải Cao Cấp – Dễ Bị Cháy Khi Nhiệt Độ Cao. NTN Website Builder
Fabric Steamer – Fabric care Essential: Là một trong những dụng cụ hữu ích & thiết yếu chăm sóc loại vải cao cấp- dễ bị cháy khi nhiệt độ cao. -Bàn Ủi ứng dụng hơi nước nóng – hay gọi là “Hấp ” là một loại thiết bị đạt hiệu quả cao để loại bỏ…
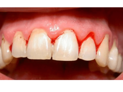
Bệnh Về Nướu Răng (Gum Disease)
Bệnh nướu răng, là một bệnh nhiễm trùng nướu làm tổn thương mô mềm và nếu không điều trị, có thể phá hủy xương nâng đỡ răng. Gây nên tình trạng lung lay răng có khi phải nhổ bỏ hoặc nạo mổ, dẫn đến mất răng. Có hai loại vi khuẩn thường thấy có liên…
Dưỡng Môi Trong Mùa Đông
Cấu tạo của môi không có chứa các tuyến tiết chất nhờn như là da, vì thế môi dễ bị kích thích bởi các tác động của nắng, thời tiết lạnh và thức ăn hay các loại mỹ phẩm. Ngoài ra vùng da ở môi có cấu tạo khá mỏng cho nên môi rất nhạy…
Cách Bỏ Qua Một Việc Mà Ta Không Vui
Dưới đây là 2 trường hợp, mời các anh chị em cùng xem để có phương pháp làm sao bỏ qua sự việc đến với mình trong tình huống mình không vui Trường Hợp 1: Cố NhớLần 1: Nhớ lạy việc mà người ta gây phiền muộn cho mìnhLần 2: Nhớ lạy việc ấy một…
Những Sinh Hoạt Của Trường Hoàng Hoa Thám, Phần 1
Thiên Thể NGC 11Website Builder https://togetherntn.wordpress.com/
Nửa Vầng Trăng
Trăng ơi, Trăng ở nơi cao thế ?Đêm nay nhìn Tôi với Vì SaoTôi thì chỉ thấy Người có nữaMột nửa nơi xa rất mơ hồMuốn nói cùng Trăng lời tâm sựMột người xứ lạ nhớ quê hươngSợ Trăng không chở đầy tâm sựGởi gió theo mây bay đến nơi https://www.youtube.com/watch?v=ps7eaIWNKqo Xin chân thành cảm…
Hãy Cùng Nhau Cầu Nguyện Cho Hòa Bình
NTN đã từng là nạn nhân của chiến tranhThuở nhỏ có những lúc một mình chạy bộ hớt hơ hớt hải từ trường về nhà vì đạn bom pháo gần trường học. Vừa chạy vừa khóc, là một đứa trẻ mà – biết bao sợ hãi. Cũng vì chiến tranh, khi lớn lên NTN phải…
Mình Ơi!
Mình ơi Mình bỏ em rồi ,Em không biết nữa cuộc đời ra sao.Phải chi không có chuyện tìnhThì đâu có chuyện nghẹn ngào hôm nay. NTN Blog Cảm ơn Bài Hát MÌNH ƠI – [Official Audio] CẨM LY.https://www.youtube.com/watch?v=JfRiZ1-ksLg Cảm Ơn các bạn đã quan tâm, theo dõi và ủng hộ các bài viết và…
Tìm Em Trong Mộng
Cơn mơ là giấc mộng vàng Tương tư Em mãi không đành nói raChỉ trong giấc mộng bên Em Tôi can đảm nói muôn lời yêu EmTôi mơn trớn vồ lấy Em Em yêu nũng nịu, thật là có duyên Cái duyên chết mệt người ta Tim tôi thắt lại Em cười với TôiMôi Tôi…
Something went wrong. Please refresh the page and/or try again.
Follow My Blog
Get new content delivered directly to your inbox.